Bệnh viện Bãi Cháy: Cảnh báo nguy cơ nhồi máu cơ tim ở người trẻ do rối loạn mỡ máu
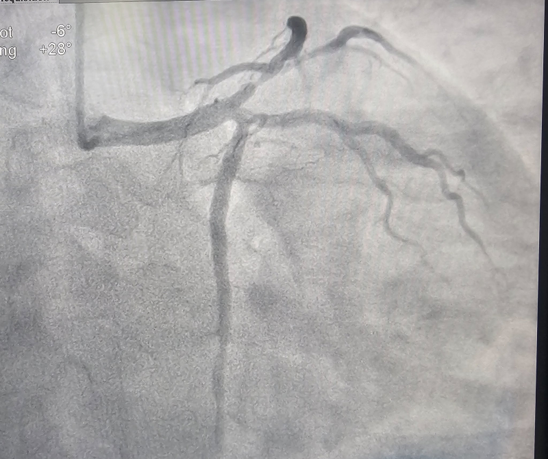
Các bác sĩ Khoa Tim mạch – Bệnh viện Bãi Cháy vừa can thiệp thành công cho bệnh nhân nam 34 tuổi bị nhồi máu cơ tim cấp. Kết quả chụp mạch vành cho thấy bệnh nhân hẹp 90% động mạch liên thất trước (LAD) và nhánh chéo 1 (Diag1). Người bệnh được xử trí kịp thời bằng kỹ thuật can thiệp đặt stent chỗ chia đôi (Mini-Crush), tái thông dòng chảy mạch vành, giúp bảo toàn chức năng tim.

Thạc sĩ, bác sĩ Đinh Danh Trình, Trưởng khoa Tim mạch, Bệnh viện Bãi Cháy cùng ê kíp đang tiến hành chụp và can thiệp đặt stent mạch vành cho bệnh nhân.


Hình ảnh: trước và sau khi can thiệp
Điều đáng chú ý, bệnh nhân chỉ có duy nhất một yếu tố
nguy cơ: rối loạn mỡ máu nhưng không được điều trị và theo dõi.
Trường hợp trên là hồi chuông cảnh báo: mỡ máu cao
không còn là bệnh của người lớn tuổi mà đang ngày càng trẻ hóa, tiềm ẩn nhiều
biến chứng nguy hiểm, đặc biệt là nhồi máu cơ tim – đột quỵ.
Mỡ máu cao ở người trẻ – Nguyên nhân
và mức độ nguy hiểm
Mỡ máu cao là gì?
Là tình trạng tăng cholesterol xấu (LDL) và/hoặc triglyceride
trong máu. Chúng âm thầm hình thành mảng xơ vữa trong lòng mạch → hẹp, tắc
mạch, dẫn đến nhồi máu cơ tim, đột quỵ.
Vì sao người trẻ ngày càng bị mỡ máu
cao?
- Chế độ ăn nhiều dầu mỡ, đồ chiên rán, thức ăn nhanh
- Thừa cân – béo phì
- Ít vận động, ngồi nhiều với máy tính/điện thoại
- Stress kéo dài, sử dụng rượu bia, thuốc lá
- Yếu tố di truyền: có người thân mắc rối loạn lipid
máu
Dấu hiệu cảnh báo
- Đa số không có triệu chứng. Một số trường hợp có:
- Hoa mắt, chóng mặt, mệt mỏi dai dẳng
- Những mảng vàng nhỏ dưới da (mi mắt, khuỷu tay…)
- Nhiều người trẻ chỉ phát hiện khi biến chứng tim mạch xảy
ra, giống như ca bệnh trên.
Biến chứng nghiêm trọng của mỡ máu
cao
- Nhồi máu cơ tim, đột quỵ đe dọa tính mạng
- Viêm tụy cấp
- Gan nhiễm mỡ, có thể tiến triển thành xơ gan
Làm gì để phòng ngừa mỡ máu cao?
- Duy trì cân nặng hợp lý
- Ăn uống khoa học:
- Hạn chế thịt đỏ, đồ chiên rán, nội tạng
- Tăng cường rau xanh, cá, các loại hạt tốt cho tim mạch
- Tập thể dục tối thiểu 150 phút/tuần
- Tránh rượu bia, thuốc lá
- Khám sức khỏe định kỳ, xét nghiệm đánh giá mỡ máu
Lời khuyên từ chuyên gia tim mạch
Bệnh viện Bãi Cháy:
Rối loạn mỡ máu nếu phát hiện sớm, điều trị đúng có thể phòng tránh hầu hết
biến chứng tim mạch nguy hiểm.
Nếu bạn hoặc người
thân:
- Có rối loạn mỡ máu
- Có tiền sử gia đình bệnh tim mạch
- Hoặc nằm trong nhóm nguy cơ
➡️ Hãy đến Bệnh viện Bãi Cháy để được tầm soát – tư vấn – kiểm soát mỡ máu hiệu quả, bảo vệ trái tim từ sớm!
Minh Khương
