Bệnh viện Bãi Cháy can thiệp mạch vành cứu sống bệnh nhân 31 tuổi bị nhồi máu cơ tim nguy kịch
Nhồi máu cơ tim là bệnh lý có tỷ lệ tử vong cao nếu không được phát hiện và xử trí kịp thời. Vừa qua, các bác sĩ Bệnh viện Bãi Cháy đã kịp thời can thiệp mạch vành cứu sống một bệnh nhân trẻ 31 tuổi bị nhồi máu cơ tim nguy kịch.
Bệnh nhân Dương V T (31 tuổi, trú tại TP Hạ Long, tỉnh Quảng Ninh) có tiền sử hút thuốc lá 10 năm liên tục, mỗi ngày hút từ nửa bao đến 1 bao thuốc lá, nhập viện cấp cứu trong tình trạng đau tức ngực trái âm ỉ. Các xét nghiệm thăm dò phát hiện tình trạng đái tháo đường, men tim tăng nhẹ. Đáng chú ý kết quả điện tim không có biến đổi bất thường, nhịp xoang đều, không có dấu hiệu nhồi máu cơ tim đặc hiệu với ST chênh lên trên điện tim.
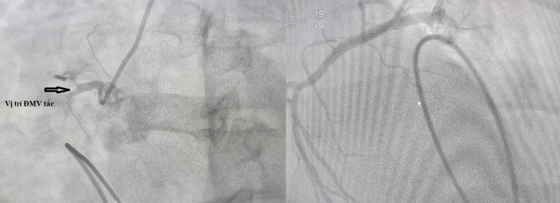
Trong quá trình theo dõi sát tình trạng và làm lại xét nghiệm men tim, sau 2 tiếng, bệnh nhân xuất hiện tình trạng đau ngực, vã mồ hôi trở lại, huyết áp tụt 60/40mmgHg, nhịp tim chậm 39 lần/phút. Ngay lập tức, các bác sĩ đã xử trí nâng huyết áp, chuyển thẳng bệnh nhân đến phòng can thiệp tim mạch đặt máy tạo nhịp tim tạm thời với điện cực trong buồng tim. Kết quả chụp mạch vành trên hệ thống chụp mạch số hóa xóa nền DSA phát hiện động mạch vành phải tắc hoàn cuối đoạn 1.
Ekip can thiệp mạch vành của Ths.BS Đinh Danh Trình – Phó Trưởng Khoa Tim mạch, Bệnh viện Bãi Cháy đã thực hiện can thiệp nong bóng, đặt 1 stent vào động mạch vành phải để tái thông dòng chảy cho mạch vành tưới máu cơ tim cải thiện. Ngay sau can thiệp, cơ tim hồi phục hoàn toàn, nhịp tim quay về nhịp xoang đều 80 lần/phút, bệnh nhân thoát nguy kịch. Sau 24h can thiệp, bệnh nhân được rút điện cực máy tạo nhịp tạm tời, không còn đau ngực, chỉ số sinh tồn ổn định.

Hình ảnh chụp mạch vành của bệnh nhân trước và sau can thiệp
Ths.BS Đinh Danh Trình – Phó Trưởng Khoa Tim mạch, Bệnh viện Bãi Cháy cho biết: “Bệnh cảnh tắc động mạch vành cấp tính chiếm 0.37% tới 2.96% các trường hợp nhồi máu cơ tim cấp. Tắc động mạch vành là một tình trạng nguy hiểm, nếu không được điều trị kịp thời có thể gây ra những biến cố như nhồi máu cơ tim do tắc nghẽn đột ngột mạch máu nuôi tim, tàn phế, thậm chí tử vong.
Thực tế những biến chứng tim mạch nặng như nhồi máu cơ tim, đột quỵ ở người trẻ, đặc biệt lứa tuổi dưới 40 hầu hết là những người hút thuốc lá nhiều. Bệnh nhân này có tuổi đời trẻ nhưng có rất nhiều yếu tố nguy cơ có thể dẫn đến nhồi máu cơ tim như béo phì, đái tháo đường chưa phát hiện, hút thuốc lá nhiều năm với số lượng lớn…Hút thuốc lá gây vữa xơ động mạch. Theo thời gian, các mảng xơ vữa lớn dần lên gây hẹp lòng mạch tại một hay nhiều nhánh động mạch vành, làm giảm lưu lượng máu đến nuôi cơ tim. Nếu tắc các mạch máu lớn hoặc tắc mạch trên phạm vi rộng do các mảng xơ vữa long ra gây bít tắc, ở nhiều vị trí thì có thể gây ảnh hưởng đến khả năng bơm máu của tim, gây nhồi máu cơ tim, nhồi máu não…thậm chí là ngừng tim”.

Bệnh nhân hồi phục sức khỏe tốt sau can thiệp
Can thiệp mạch vành là một kỹ thuật cao, sử dụng các dụng cụ chuyên dụng luồn vào lòng mạch tới vị trí mạch máu bị tắc, hẹp làm khôi phục dòng chảy trong mạch máu. Nhờ vậy kỹ thuật can thiệp động mạch vành đã thay thế cho nhiều phẫu thuật mổ hở phức tạp trước đây. Can thiệp mạch vành ít xâm lấn, vì vậy giai đoạn hậu phẫu bệnh nhân trải qua tương đối nhẹ nhàng. Tốc độ phục hồi sức khỏe nhanh, thời gian nằm viện ngắn, tiết kiệm chi phí, nâng cao chất lượng cuộc sống.
Làm chủ và ứng dụng kĩ thuật chụp và can thiệp mạch vành dưới sự hỗ trợ của hệ thống số hóa xóa nền DSA từ năm 2015 đến nay, các bác sĩ can thiệp tim mạch tại Bệnh viện Bãi Cháy đã tận dụng “thời gian vàng” xử trí cấp cứu thành công nhiều ca bệnh nhồi máu cơ tim. Nhờ đó mang lại sự sống cho người bệnh nguy kịch ngay tại địa phương, giúp người bệnh rút ngắn thời gian hồi phục và tiết kiệm chi phí điều trị bệnh.

Ứng dụng kỹ thuật can thiệp mạch vành cấp cứu nhồi máu cơ tim tại Bệnh viện Bãi Cháy
Nhồi máu cơ tim đang có xu hướng trẻ hóa do thói quen sinh hoạt không lành mạnh, Theo lời khuyên của bác sĩ Tim mạch, Bệnh viện Bãi Cháy, để giảm nguy cơ tắc mạch vành, nhồi máu cơ tim ở người trẻ, cần:
Có chế độ ăn uống hợp lý, tránh ăn mỡ và nội tạng động vật, ăn đủ rau quả, từ bỏ thói quen hút thuốc lá, không lạm dụng rượu bia, tập thể dục đều đặn, giữ cân nặng hợp lý, tránh căng thẳng tâm lý, điều trị tốt các bệnh lý nếu có như tăng huyết áp, đái tháo đường, rối loạn mỡ máu…
Cần chú trọng khám sức khỏe định kỳ đều đặn cũng như khám chuyên khoa tim mạch khi có các triệu chứng bất thường để phát hiện và điều trị sớm bệnh lý động mạch vành, giúp phòng ngừa nhồi máu cơ tim và các biến chứng của nó.
Khi người bệnh xuất hiện các dấu hiệu như đau tức vùng ngực, khó thở, toát mồ hôi lạnh, nôn, choáng váng… thì cần đến thăm khám tại các cơ sở y tế có chuyên khoa tim mạch để chẩn đoán và can thiệp điều trị nhồi máu cơ tim kịp thời.
Đối với những bệnh nhân trẻ tuổi hoặc những người đã mắc bệnh tim mạch cần phải có chế độ ăn hợp lý, duy trì cân nặng phù hợp, tập thể dục đều đặn, cân đối công việc và cuộc sống. Ngoài ra, những người đã mắc bệnh tim mạch cũng cần thường xuyên thăm khám, sử dụng thuốc theo chỉ định của bác sĩ để duy trì sức khỏe.
Mạc Thảo
